375+ Tonsillitis Patients Treated

Tonsillitis
Recurrent tonsillitis is common in children and adults and often leads to repeated infections and recommendations for tonsil removal. Tonsils play an important immune role by trapping germs and helping the body fight infections, so preserving them is beneficial. Homeopathic treatment focuses on strengthening immunity and reducing the tendency for repeated throat infections. By lowering the frequency and severity of tonsillitis, homeopathy helps protect the tonsils and supports long-term throat health, often helping avoid unnecessary surgery. We have been able to save many tonsils!
Tonsillitis

Dr. Rajesh Shah's Insights on Tonsillitis

Dr. Rajesh Shah believes that tonsillitis is more than just a sore throat; it is often a sign that the body’s immunity needs strengthening. Based on years of clinical experience, he has observed that understanding individual triggers, lifestyle factors, and overall health can help reduce recurrent episodes of tonsillitis.

Tonsils become inflamed while actively fighting bacteria and viruses. They serve as the body’s natural defenders and play an important role in immune protection, which is why preserving them is preferable to removing them whenever possible. Homeopathic treatment focuses on improving immune response and reducing susceptibility to repeated infections, thereby helping prevent many cases of recurrent tonsillitis and supporting long-term throat health.

180+

We have treated patients from over 180 countries

Patients Treated

375+

Over 375+ patients of Tonsillitis Patients Treated (Nov 2025)

30+

Team of Expert Doctors

40+

Years of Experience

100% Satisfaction

If you are not satisfied after 6 weeks of treatment, you may return the unused medicines and request a refund for the unused portion of services, in accordance with our policy. Our team is available to assist you through the refund process. No cure is assured within six weeks. For full terms, please visit our Detailed Refund Policy page.

What is Tonsillitis?

Tonsillitis is the inflammation of the tonsils. Tonsils are two oval-shaped pads of lymphoid tissue located at the back of the throat and form an important part of the immune system. They act as filters by trapping bacteria and viruses that could otherwise enter the airways and cause infection. Tonsils also help the body by producing antibodies to fight infections.

Tonsillitis can be caused by viral or bacterial infections. When the immune system is weakened, the body becomes more susceptible to these infections, and the tonsils may become swollen and inflamed as they actively fight invading pathogens.

Understanding Tonsillitis

Tonsillitis

Homeopathic Relief

Homeopathy can treat both acute and recurrent tonsillitis by strengthening the body’s natural defenses and reducing the frequency of infections. Children commonly experience tonsillitis, and homeopathic medicines are considered gentle and suitable for them. Many individuals may avoid surgery when homeopathic treatment is initiated early and professionally guided. Homeopathy believes in saving tonsils.

Medicine Details

Commonly used homeopathic medicines for the treatment of tonsillitis include: Belladonna, Calcarea carbonica, Mercurius solubilis, Hepar sulphuricum, Lachesis, Tuberculinum, Calcaria iodum, Phosphorus, Staphylococcinum, Phytolacca, and more, which are chosen only after detailed case evaluation. Self-medication is not suggested.

Homeopathy Benefits

Homeopathy aims to help reduce the frequency of tonsillitis episodes and lessen the discomfort during each episode. Many individuals report needing fewer antibiotics when under consistent homeopathic management. In several cases, children who experience recurrent infections may avoid the need for tonsillectomy as their overall immunity improves. Parents often report better disease resistance, improved appetite, and healthier weight gain in children who previously experienced frequent illness.

Treatment Duration

Typically, the results include a reduction in the frequency of tonsillitis attacks. The duration of homeopathic treatment varies with the duration of tonsillitis and the frequency of episodes. The initial 4 months should show results. The treatment course may last up to two years.  Surgery may be avoided in many cases, if not all.

Disease Process

Tonsillitis occurs when the tonsils—natural defenders against infections—are attacked by viruses, bacteria, or allergens. When immunity is low, these microbes infect the tonsils, causing redness, swelling, and pain. Streptococcal bacteria are a common cause, though viruses and environmental factors also play a role.

Changes in weather, allergens, food preservatives, or crowded environments may trigger acute episodes. Chronic or recurrent tonsillitis often has a hereditary component, particularly among children with a family history of similar throat infections.

Global Prevalence

Tonsillitis is widespread across the world. According to WHO estimates, more than 600 million people experience tonsillitis-related symptoms each year, accounting for nearly 30% of the global population. In India alone, an estimated 20–30 million cases occur annually, highlighting its high prevalence, especially among children and young adults.

This widespread occurrence emphasizes the need for greater awareness, timely evaluation, and appropriate management. Factors such as environmental conditions, climate changes, and population density further influence regional incidence rates.

Main Causes

Tonsils act as the body’s first line of defense against incoming germs, which also makes them prone to infection. Viruses cause most cases of tonsillitis, whereas bacterial infections—particularly Streptococcus pyogenes—also play an essential role. In susceptible individuals, specific triggers such as artificial food colorings, sour fruits, bananas, preservatives, cold drinks, and ice cream may aggravate symptoms.

Weather changes, particularly cold or damp conditions, can further provoke inflammation. Crowded settings such as schools and parks increase exposure to airborne pathogens, thereby increasing the risk of recurrent infections.

Risk Factors

Tonsillitis occurs more commonly in children, particularly those between preschool and mid-teenage years, because tonsil immunity is more active during this period and later declines after puberty. This explains why adults experience fewer cases. Children who spend time in group settings, such as schools, daycare centers, and playgrounds, are frequently exposed to airborne pathogens, which increases their risk of infection. Repeated exposure, weak immunity, and environmental factors collectively make some children more susceptible than others.

Key Symptoms

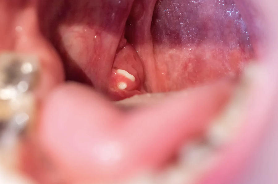
Common symptoms include swollen tonsils, painful or difficult swallowing, red throat, high-grade fever, and white or yellow patches on the tonsils. Enlarged neck glands, sore throat, muffled or altered voice, headache, low appetite, and ear pain are also frequent. Some individuals experience breathing difficulty through the mouth, persistent bad breath, fatigue, nausea, or voice changes. In some cases, tonsilloliths or tonsillitis develop when debris becomes trapped. Occasionally, tonsils may enlarge enough to touch each other, a condition described as “kissing tonsils,” which may further obstruct airflow.

Possible Complications

Repeated or chronic inflammation of the tonsils may lead to certain complications. These include respiratory difficulty, particularly in children with markedly enlarged tonsils. Obstructive sleep apnea may result from interrupted airflow during sleep. Tonsillar cellulitis can develop if the infection spreads into deeper tissues. In some cases, a peritonsillar abscess may form, causing severe pain and requiring timely medical attention. These potential complications highlight the importance of monitoring persistent tonsillitis symptoms.

Diagnostic Steps

Diagnosis usually begins with a clinical examination of the throat, where enlarged, red, or swollen tonsils may be observed, along with inflamed lymph nodes. The doctor may also assess associated symptoms such as fever, voice changes, difficulty swallowing, or breathing discomfort.

When a bacterial infection is suspected, a throat swab or rapid test may be advised to detect organisms such as Streptococcus. These evaluations help guide appropriate treatment decisions and ensure timely, targeted care.

Conventional Treatment

Conventional management of tonsillitis includes pain relievers such as acetaminophen or ibuprofen to reduce pain and fever. If the infection is bacterial, antibiotics—most commonly penicillin or an appropriate alternative—may be prescribed. In recurrent or severe cases, short-term steroid therapy may sometimes be considered to reduce inflammation.

Tonsillectomy (surgical removal of the tonsils) is less commonly advised today and is generally reserved for individuals with frequent, persistent episodes that significantly impact daily life or fail to respond to medical management.

Helpful Measures

Good hygiene plays a key role in preventing tonsillitis, as many infections spread through airborne pathogens. Avoiding cold drinks, ice cream, and similar foods may help reduce susceptibility, though parents in Western countries often overlook this. Regular handwashing—especially before meals and after using the restroom—helps lower the risk of infection.

Adequate fluid intake keeps the throat moist and can ease discomfort; warm, caffeine-free beverages are often soothing. Gargling with warm salt water and inhaling steam may provide additional relief. Avoiding irritants such as tobacco smoke and polluted environments also helps prevent symptom aggravation and recurrent infections.

Types of Tonsillitis

Acute tonsillitis

Acute Tonsillitis

Sudden inflammation of the tonsils causing severe throat pain, fever, and difficulty swallowing.

Recurrent tonsillitis

Chronic Tonsillitis

Persistent tonsil inflammation leading to repeated sore throats and recurrent tonsil infections.

Tonsillitis

Recurrent Tonsillitis

Multiple tonsillitis episodes in a year with recurring throat pain and infections.

Tonsil abscess

Peritonsillar Abscess

Collection of pus near the tonsil causing intense pain, swelling, and difficulty opening the mouth.

Our Expertise

Our Expertise

  • With over 40 years of clinical experience under the guidance of Dr. Rajesh Shah, Life Force Homeopathy has documented hundreds of tonsillitis cases from more than 180 countries, treated through our global online platform as well as our clinics in Mumbai, Pune, and Bangalore.
  • Our approach focuses on strengthening immunity and preserving the tonsils whenever possible, recognizing their vital role in the body’s natural defense system. Saving the tonsils is our motto.
  • Based on extensive clinical experience, we offer homeopathy as a supportive option for individuals suffering from recurrent tonsillitis. Patented, research-based homeopathic medicines further support our success.

Links to Dr. Shah’s research publications:

Homeopathy for Tonsillitis

Homeopathy for tonsillitis focuses on enhancing the body’s natural healing response and supporting immunity. Remedies are selected after evaluating symptoms, triggers, and individual health patterns. This gentle approach aims to reduce the incidence of Tonsillitis, manage recurrent episodes, and improve overall throat health.

Case Studies

Tonsillitis

14 years old boy with complaints of recurrent tonsillitis since childhood. Every 2-3 months he would develop tonsillitis and would require frequent courses of antibiotics. Advised for tonsillectomy by his physician

Master. S. M (Patient Ref. No. L-6917) a 14 years old boy was brought to the clinic by his parents…

Read More

Tonsillitis

Complete Recovery From 10 Years Persistent Tonsillitis In 6 Months Of Homeopathic Treatment

A 13-years-old girl, Miss. S.S (PIN 10818) visited Life Force on 7th March 2017 to get treated for her recurrent…

Read More

Tonsillitis

Ice-creams no more causing throat pain. Hundred percent recovery in case of recurrent tonsillitis

Seven-year-old female child, Ms K.P.S (Patient Identification Number: 23413) visited Life Force homeopathy on 25th August 2014 for her complaints of…

Read More

Tonsillitis

Suffering with recurrent tonsillitis. He had this ailment for the past 5 years. This problem used to recur at least 2-3 times a year and it used to last for 4-6 days.

This is a case of Master A.K.G, (L- 8329) an 8 year old boy who was suffering with recurrent tonsillitis.…

Read More

Anxiety

Sinusitis, Tonsilitis and Anxiety cured within 2 months of medication.

Mrs. P. J. T., 32 years old home maker (Patient Identification Number – 17917) visited our clinic on 7th January,…

Read More

Tonsillitis

9 years old girl was reported with complaints of frequent colds and throat infections since childhood The attacks would begin with irritation in the throat and she would develop pain in the throat.

This is the case of Baby. M.A (Patient Ref. No. S-4325) a 9 years old girl who was brought to…

Read More

Real Case Outcomes

  • Alopecia Areata

  • Ankylosing Spondylitis

  • Asthma

  • Cancer

  • Child Asthma

  • Diabetes

  • Eczema

  • Frequent Colds

  • Hair Fall

  • Hepatitis C

  • Irritable Bowel Syndrome (IBS)

  • Lichen Planus

  • Psoriasis

  • Trigeminal Neuralgia

  • Ulcerative Colitis

  • Underactive Thyroid

  • Urticaria

  • Vitiligo

Your Curability Test Guide

Learn about the curability test and begin by selecting your condition from the left

STEP 01

Select your condition

STEP 02

Submit the Form

STEP 03

Get report Instantly

Patients Testimonials

GuestBook 43

Excellent till date, also showing lot of improvement. Dr. Priyanka is too good and explained a lot about her diet.

Hema Kothawale

It's very effective treatment. We are very much satisfied with the treatment. Special thanks to all of you.

e

We have very good experience of this treatment. Thank you team. well done.

Shyamal Rajan Shirodkar, Goregaon

I am taking medicine since june 2017 on lichen planus. there was much erruption in june. Now after five to six months medication there is improvement. The erruption is not frequent 60% improvement is there so far. 
Thank You.
 

Punam Purohit, Goregaon(E)

Pleased to meet Dr. Shah in person. He looks so calm and composed, Listens to his patient and responds gently to all the question. He has a wonderful people out him, all supportive. Thanks

g1

Very good as the staff & Doctor are very friendly.

Jeet Anil

Since last one year, I have been taking medicines & my psoriasis is getting better day by day. All thanks to Dr.Rajesh Shah and his team of Life Force.

Mahesh Mallesh Jogi, Jogeshwari (West)

I am taking medicine for Lichen Planus for Oct 2015. Much difference. Now I can eat something. I feel better 60% improvement is there. Thank you.

Zeenia Darius

Good improvement in Migraine problem. Thank you.

GuestBook 39

Good improvement overall. Dr. has good amount of knowledge keep it up.

Our Success Stories

Ask Dr. Rajesh Shah

Dr. Rajesh Shah, MD (Homeopathy), is a renowned Mumbai-based homeopath, recognized for treating patients from 180 countries, including celebrities and underprivileged individuals.

Contact Us